分子及基因研究再先进,难治性疾病依然存在,甚至在增加,牛皮癣(Psoriasis)也是激增而难治的疾病之一,不少医生也患有该病。之所以难治主要是因为认识和治疗不正确,需要共同反思。应病友的要求,谈谈我对牛皮癣的见解。
牛皮癣是免疫病
癣是真菌感染引起的,用杀霉菌药及加强卫生管理,容易治好。有些牛皮癣,灰白色鳞屑积累较多时,很像癣,但实际上牛皮癣与真菌无关,无传染性。
牛皮癣是中国的叫法,日本叫干癣,英文Psoriasis本意的瘙痒病的意思,都与牛没有关系。在机械化欠发达地区,靠牛力耕作,牛皮受残酷的外力压迫,死伤的细胞特别多,形成鳞屑,而养尊处优的牛皮没有这种鳞屑。部分病人鳞屑多,也叫银屑病。实际上牛皮癣是免疫低下,免疫系统对自己的皮肤误爆的结果。
牛皮癣的皮肤细胞生长速度超过癌细胞
正常的皮肤的细胞周期约为457小时,而牛皮癣时缩短约为37小时,由于真皮层内淋巴细胞及部分中性白血球浸润,肥大细胞等释放炎症因子,因此从真皮到表皮处于炎症状态,大量细胞夭折而角化,因此细胞快速增长,血管也临时新生铺设,故上面多鳞屑,下面易出血。

(常见牛皮癣的皮疹)
形态多与治疗有关
皮肤开始为炎性红色丘疹,粟粒或绿豆大小,激素治疗后反跳,面积扩大,渐呈斑块,边界清楚,周围有炎性红晕,基底浸润明显,表面覆盖多层干燥的灰白色或银白色鳞屑,刮除表面鳞屑便露出淡红色发亮的半透明薄膜。
临床上根据形态,皮癣分为寻常型、点滴型、红皮症型、脓疱型、关节炎型。寻常型就是常见性的牛皮癣,占90%。除点滴状红疹多因链球菌感染引起的外,其他型都是皮质激素等治疗后演变的。譬如,之所以长脓疱是因为激素和免疫抑制剂过度抑制免疫功能,导致病毒或细菌继发感染,关节炎只不过因免疫力的进一步下降而蔓延到关节而已。

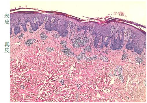
(牛皮癣的病理,表皮角化,真皮炎症细胞浸润)
治疗方针有误
牛皮癣是免疫低下导致敌我不分,自我误爆引起的,理应提高免疫能力。但现实临床上是采取抑制免疫(皮质激素、抗肿瘤药、器官移植药)和抑制炎症物质反应的方法,相当于鲧治水,堵一下,好一时,更泛滥。终于从局部扩散到全身。
牛皮癣的诱发因素
引起免疫功能异常的因素很多,古代的牛癣主要由精神压力引起,心里纤细而用脑过度的人易得,曾国藩当年就苦于牛皮癣,以前30岁的人才开始发病,现在由于升学压力,加上睡眠不足,十几岁就有患牛皮癣的,这种多始发头部;化学物质,如装修工等,这种皮疹多始于四肢;药物,引起免疫异常的药物很多,如干扰素α、消炎痛、β1受体阻滞剂和钙通道阻滞剂等降压药、锂盐等精神科药、抗疟药、四环素、二甲双胍等,这类牛皮癣开始多呈点滴状。
体质治疗
牛皮癣与过敏性药疹、日光性皮炎、金属等接触性皮炎、斑秃、溃疡性大肠炎,阿脱皮性皮炎(atopic dermatitis,AD)等本质是一回事,病症比阿脱皮性皮炎轻,开始发病时,只要改变生活习惯就有可能自愈,但经过激素等治疗后便失去自愈机能。由于皮肤本身有修复功能,只要身体的免疫功能恢复,不再误爆自己的皮肤,就会正常。中药制剂容身茶就是这个原理,未经治疗的人,多三个内正常,但如果使用过激素等免疫抑制剂,因免疫力更加低下,加上局部炎症物质的积压和皮肤纤维化变性等,即使服用容身茶,也必然会出现反跳,即局部炎症加重的现象,如果反跳彻底而经时治愈,则不留痕迹,最终变成细腻皮肤。如果免疫基本调正常而反跳不到位,心急而中途停药,也能好转,但会留下色素沉着和皮肤纤维残留。所以急于求成的心态往往使病迁延化,复杂化。
生活调理不可缺
缓解精神压力,保证睡眠,尽可能少接触相关药物和化学物质,多吃有助于镇静消炎的苦味食品,如苦瓜、西橙、苦荞麦、银花、苦茶等。总之,正确调理,牛皮癣可以治愈,只是时间问题,欲速则不达。

(未经激素等治疗者未见反跳)
热点视频
热点新闻
![]() |
2026/3/26 |
|
![]() |
2026/2/27 |
|
![]() |
2026/2/17 |
|
![]() |
2026/2/16 |
|
![]() |
2026/1/28 |
|
![]() |
2026/1/28 |